Hírek
2016. Május 02. 13:56, hétfő |
Belföld
Forrás: mti
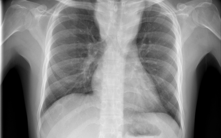
Terjed a tbc Szatymazon?
Hétfő reggel óta tbc-tesztet végeznek el a gyerekeken egy szatymazi általános iskolában, ahol egy hete fertőző tüdőbetegségben halt meg egy korábban ott dolgozó nő - közölték az M1 aktuális csatorna déli Híradójában.
A Délmagyar hírportál hétfő reggel írt arról, hogy februárig dolgozott a szatymazi iskolában közmunkásként az nő, aki tuberkulózisban (tbc) halt meg egy hete. Az ügyben rendkívüli szülői értekezletet tartottak. Az általános iskola 260 tanulója közül szülői beleegyezéssel 250-en végzik el a tbc-tesztet.
Az M1 tudósítója a helyszínről azt mondta: több szülővel beszéltek, ők nem voltak megriadva; elmondták, hogy az iskola azonnal tájékoztatta őket arról, mi történt a nővel, aki takarítóként dolgozott az iskolában február végéig. A tudósító megjegyezte, a tbc tüneteinek lappangási ideje 28-30 nap, ez az idő már letelt, de egyetlen gyereken sem tapasztaltak egyetlen tünetet sem.
Felidézték, hogy Magyarországon 1954 óta kötelező a tbc elleni védőoltás. Most az iskola diákjain biztonsági intézkedésként végzik el az úgynevezett Mantoux-tesztet, amely kimutatja, hogy védettek-e a tbc ellen. Ezt a tesztet később, három és hat nap múlva is megismétlik - hangzott el a Híradóban.
Április elején egy debreceni óvodában volt szükség hasonló intézkedésekre, mert az intézmény egyik dolgozója tüdőtuberkulózissal fertőződött meg.
Ezek érdekelhetnek még
2026. Április 22. 15:00, szerda | Belföld
Kapitány István: a Tisza-kormány intézkedéssorozattal növeli a gazdaság termelékenységét és a kkv-szektor hatékonyságát
2026. Április 22. 14:00, szerda | Belföld
Május 9-re hívta össze az Országgyűlés alakuló ülését a köztársasági elnök
Május 9-én 10 órára hívta össze az új Országgyűlés alakuló ülését Sulyok Tamás köztársasági elnök - közölte a Sándor-palota az MTI-vel.
2026. Április 22. 14:00, szerda | Belföld
Orbán Viktor is aláírta a Sulyok Tamás köztársasági elnököt támogató petíciót
Orbán Viktor is aláírta a Sulyok Tamás köztársasági elnököt támogató petíciót, a miniszterelnök kedden Facebook-oldalán azt közölte: \"én már aláírtam\".
2026. Április 22. 10:00, szerda | Belföld
Magyar Péter: garanciát kértem a felvidéki magyarokat börtönnel fenyegető szlovák jogszabály hatályon kívül helyezésére
Garanciát kért Magyar Péter leendő miniszterelnök Robert Fico szlovák kormányfőtől kedden arra, hogy a felvidéki magyarokat börtönnel fenyegető jogszabályt Szlovákia hatályon kívül helyezi.
